Por Dr. Juan Manuel Lajara L. Dipl.

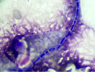
Paciente Cocker mixto, macho de 3 años. Lesiones alopécicas de progresión rápida sobre varias zonas de la piel. No hay prurito. Se procede a realizar raspado para descarte de ectoparásitos del tipo Demodex sp y Sarcoptes sp que resultan negativos. De igual forma se realizan raspados para diagnóstico citológico con las siguientes imágenes:



Cuál es su diagnóstico?