Se atendió en mi consulta una gata de nombre Sofía, de 5 años de edad, DPC( Doméstica de pelo corto), tricolor. La gata presentaba lesiones generalizadas de tipo pápulo pustular, eritematosas y costrosas, descamación y zonas con lesiones ulcerativas. También habían lesiones en la cara interna del pabellón auricular y en la cara.
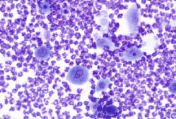
Se realizó una citología que dio el siguiente resultado, que posteriormente se confirmó con una biopsia.


Se trataría de :
a) Carcinoma de Bowen
b) Pénfigo foliáceo generalizado
c) Pioderma superficial
d) Mastocitosis
e) Tiña tricofítica